Membership information 1800 444 542
Dentolegal advice 1800 444 542

The benefits of rubber dam

03 July 2017
A case report by Dr  Sahil Soni

The use of rubber dam for routine restorative dentistry provides numerous benefits to the dental practitioner and increases comfort for the patient. Not only does it improve access and help maintain moisture control, it also prevents small objects such as sectional bands, wedges and indirect restorations from falling down the patient's throat. Another advantage of using a rubber dam is presented in the following case, where the subgingival margins and inflamed tissues posed a difficult situation for accurate scanning to fabricate an indirect CAD-CAM restoration.

case study image 1

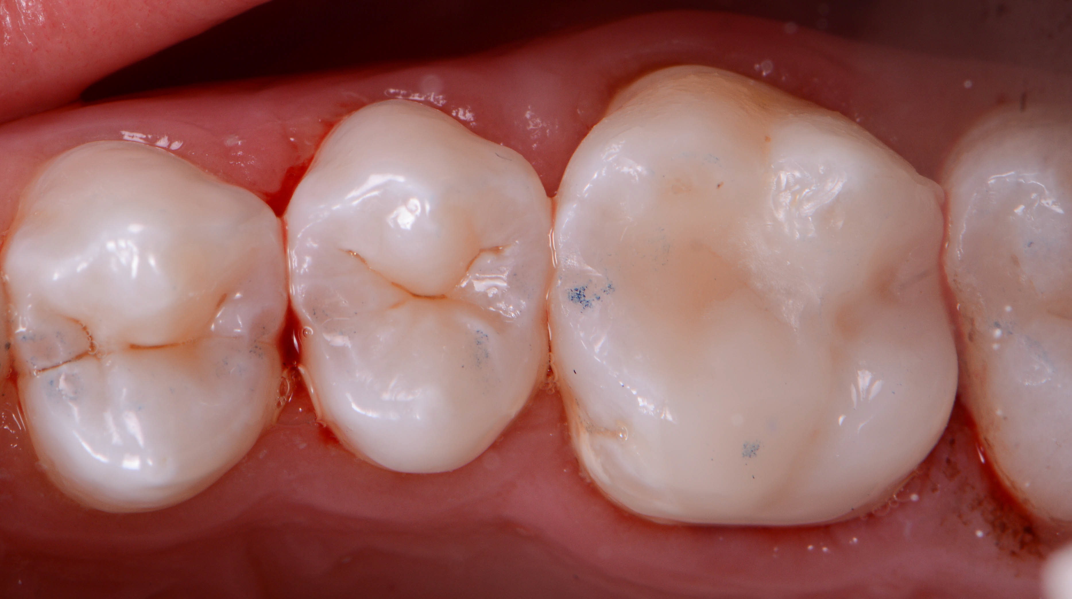
The upper right first molar (tooth 16 FDI notation) had a broken complex amalgam restoration needing replacement. Given the size of the restoration, an indirect restoration was planned for the tooth. The tooth was isolated using a rubber dam to prevent the patient from swallowing the amalgam debris as it was removed.


case study image 2

After amalgam removal, there is recurrent decay and staining evident on the tooth


case study image 3

The decay is removed and most of the tooth preparation is done under the rubber dam. The distal tooth margin extends subgingivally and as such, the rubber dam is starting to tear whilst the margins are being polished.


case study image 4

The rubber dam is removed to polish the tooth margins and to take a digital scan with a CEREC Omnicam to fabricate a CAD-CAM restoration. However, as soon as the rubber dam is removed, the inflamed gingiva start bleeding profusely; attempts to stop the bleeding with retraction cord and TCA prove to be futile.


case study image 5

After several failed attempts to achieve haemostasis using local measures, the rubber dam is replaced in an attempt to control the bleeding and provide a clean field for the digital scanning.


case study image 6

With the bleeding under control and the gingiva out of the way, a digital scan is taken using the CEREC machine.


case study image 7

An indirect restoration is fabricated using a hybrid ceramic-resin material (Cerasmart). The restoration is bonded to the tooth with the rubber dam already in place. All excess cement is removed, and the restorative margins are polished. Occlusion is checked and the restoration is completed.

As demonstrated by this case, using a rubber dam complements restorative dentistry because it makes it easier to work in subgingival areas without worrying about moisture control.

Dr Sahil Soni will be speaking at our Young Dentist Conference+ in Sydney on 19 August 2017.

Book your place now

These case studies are based on real events and provided here as guidance. They do not constitute legal advice but are published to help members better understand how they might deal with certain situations. This is just one of the many benefits Dental Protection members enjoy as part of their subscription. 
For more detailed advice on any issues, contact us

© 2010-2024 The Medical Protection Society Limited

DPL Australia Pty Ltd (“DPLA”) is registered in Australia with ABN 24 092 695 933. DPLA is part of the Medical Protection Society Limited (“MPS”) group of companies. MPS is registered in England (No. 00036142) with its registered office at Level 19, The Shard, 32 London Bridge Street, London, SE1 9SG. All the benefits of MPS membership are discretionary, as set out in the Memorandum and Articles of Association.

“Dental Protection member” in Australia means a non-indemnity dental member of MPS. Dental Protection members may hold membership independently or in conjunction with membership of the Australian Dental Association (W.A. Branch) Inc. (“ADAWA”).

Dental Protection members who hold membership independently need to apply for, and where applicable maintain, an individual Dental Indemnity Policy underwritten by MDA National Insurance Pty Ltd (“MDA”), ABN 56 058 271 417, AFS

Licence No. 238073. DPLA is a Corporate Authorised Representative of MDA with CAR No. 326134. For such Dental Protection members, by agreement with MDA, DPLA provides point-of-contact member services, case management and colleague-to-colleague support.

Dental Protection members who are also ADAWA members need to apply for, and where applicable maintain, an individual Dental Indemnity Policy underwritten by MDA, which is available in accordance with the provisions of ADAWA membership.

None of ADAWA, DPLA and MPS are insurance companies. Dental Protection® is a registered trademark of MPS.

Before making a decision to buy or hold any products issued by MDANI, please consider your personal circumstances and the Important Information, Policy Wording and any supplementary documentation available by contacting DPLA on 1800 444 542 or via email.

For information on MPS and DPLA’s use of your personal data and your rights, please see our Privacy Notice.