Membership information 1800 444 542
Dentolegal advice 1800 444 542

Avulsion and horizontal root fracture

23 May 2017
By Dr John McNamara

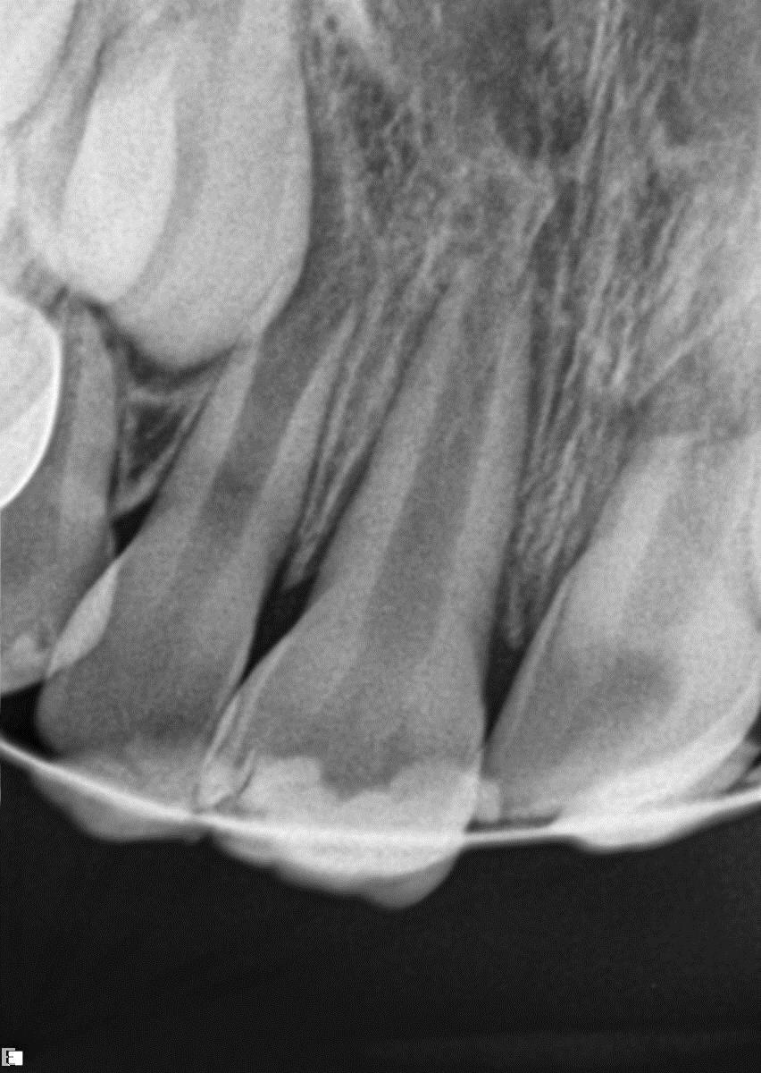
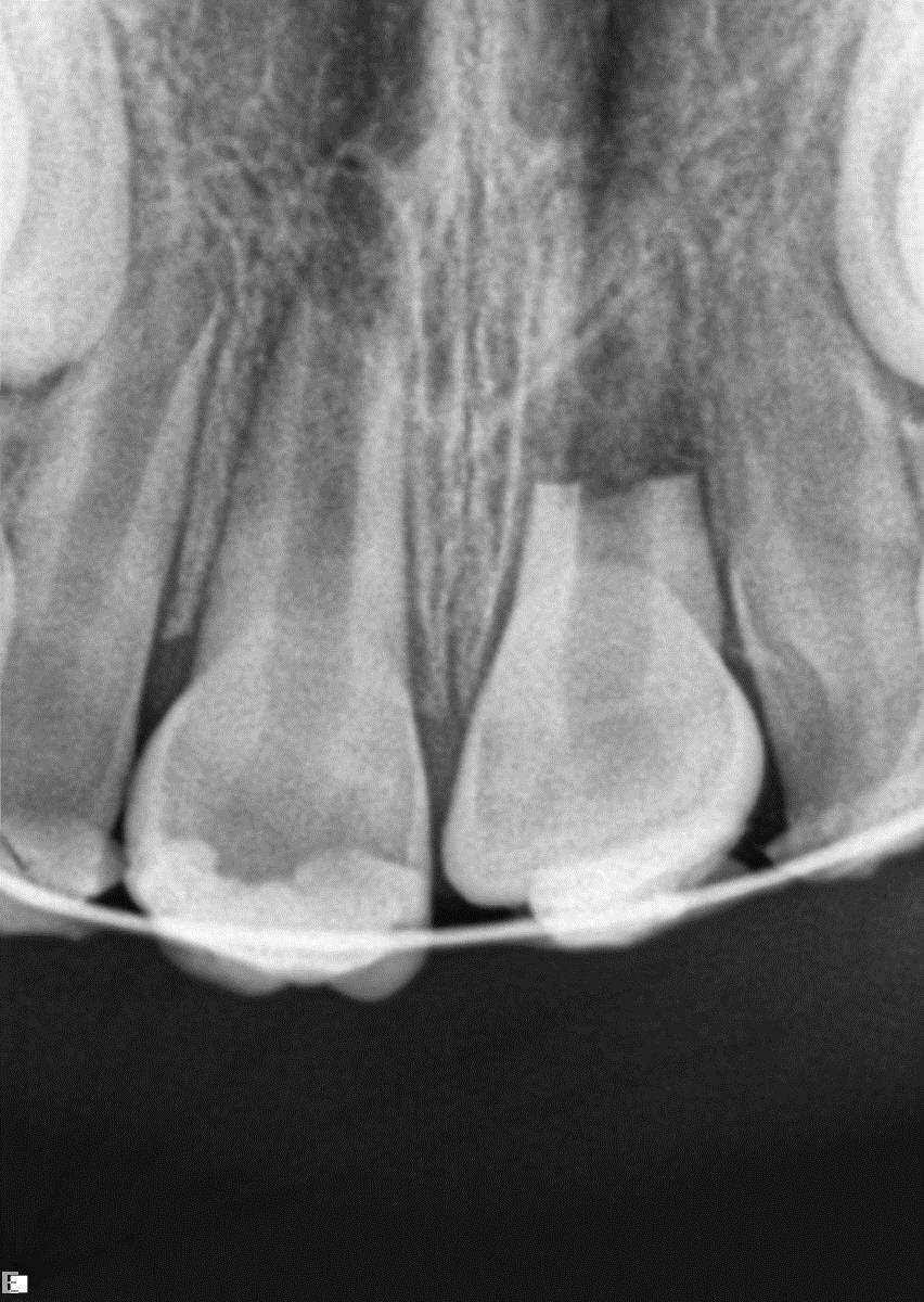
Elly was an active 8-year-old girl; while she and a friend were cartwheeling on Christmas day, she was struck in the mouth by the other girl’s foot. Elly’s upper-right central incisor was avulsed, and the upper left central incisor was palatally luxated (with mid-root horizontal root fracture). Elly’s father placed the avulsed tooth into milk immediately and went directly to her dentist. The dentist replaced the avulsed 11 into its socket and attempted to reposition the 21, but the procedure was unsuccessful. Four days later, Elly presented for assessment.

Fig 1

FIG1

Fig 2

FIG2

The colour of both teeth was good, however neither responded to cold sensibility testing. This presents the following clinical considerations:

  1. What would you do next:
    1. Remove splint and reposition orthodontically?
    2. Leave the tooth as is and observe for vitality sensibility changes
    3. How would you assess changes in vitality/sensibility?
  2. What would determine whether or not you would intervene with active treatment?
  3. What other injuries are likely to be present?
Dr John McNamara will be speaking at our Young Dentist Conference+ in Sydney on 19 August 2017.

Check the IADT Dental Trauma Guide for more information, and come prepared to answer these questions.

Book your place now

These case studies are based on real events and provided here as guidance. They do not constitute legal advice but are published to help members better understand how they might deal with certain situations. This is just one of the many benefits Dental Protection members enjoy as part of their subscription. 
For more detailed advice on any issues, contact us

© 2010-2024 The Medical Protection Society Limited

DPL Australia Pty Ltd (“DPLA”) is registered in Australia with ABN 24 092 695 933. DPLA is part of the Medical Protection Society Limited (“MPS”) group of companies. MPS is registered in England (No. 00036142) with its registered office at Level 19, The Shard, 32 London Bridge Street, London, SE1 9SG. All the benefits of MPS membership are discretionary, as set out in the Memorandum and Articles of Association.

“Dental Protection member” in Australia means a non-indemnity dental member of MPS. Dental Protection members may hold membership independently or in conjunction with membership of the Australian Dental Association (W.A. Branch) Inc. (“ADAWA”).

Dental Protection members who hold membership independently need to apply for, and where applicable maintain, an individual Dental Indemnity Policy underwritten by MDA National Insurance Pty Ltd (“MDA”), ABN 56 058 271 417, AFS

Licence No. 238073. DPLA is a Corporate Authorised Representative of MDA with CAR No. 326134. For such Dental Protection members, by agreement with MDA, DPLA provides point-of-contact member services, case management and colleague-to-colleague support.

Dental Protection members who are also ADAWA members need to apply for, and where applicable maintain, an individual Dental Indemnity Policy underwritten by MDA, which is available in accordance with the provisions of ADAWA membership.

None of ADAWA, DPLA and MPS are insurance companies. Dental Protection® is a registered trademark of MPS.

Before making a decision to buy or hold any products issued by MDANI, please consider your personal circumstances and the Important Information, Policy Wording and any supplementary documentation available by contacting DPLA on 1800 444 542 or via email.

For information on MPS and DPLA’s use of your personal data and your rights, please see our Privacy Notice.